Przeskocz do treści
BADANIA
GRAFIK
ULTRASONOGRAFIA
Czy można uniknąć zawału
do 90 roku życia?
Obrazy z badań USG.
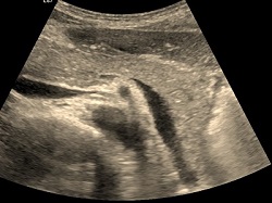
USG trzustki
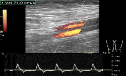
Doppler żył-prawidłowe przepływy.
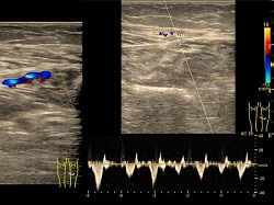
Miażdżycowe zwężenia tętnic.
USG Tarczycy.
Zwężenie tętnicy biodrowej.
Tętniak Aorty brzusznej.
Sprawdź czy nie ma zwężeń tętnic domózgowych.
Szkodliwy wpływ cholesterolu – blaszka miażdżycowa.
Miażdżycowe zwężenia tętnic.
Trzustka
6 stycznia 2026
Żylaki
6 stycznia 2026
Węzły chłonne
1 września 2024
USG kolana
10 sierpnia 2024
Diagnostyka
Dolegliwości
Doppler
Narządy
Węzły chłonne
Polityka prywatności
Subskrybuj
Zapisan/y/a
USG Gdańsk-Osowa
Zapisz mnie
Masz już konto na WordPress.com?
Zaloguj się teraz.
USG Gdańsk-Osowa
Subskrybuj
Zapisan/y/a
Zarejestruj się
Zaloguj się
Zgłoś nieodpowiednią treść
Zobacz witrynę w Czytniku
Zarządzaj subskrypcjami
Zwiń ten panel